PATOLOGÍA CEREBRAL Y CRANEAL
La Dra. Espino es especialista en el tratamiento de patologías cerebrales y craneales, proporcionando atención y soluciones avanzadas para mejorar la salud neurológica de sus pacientes.
Confíe en su experiencia y dedicación.
PATOLOGÍA CEREBRAL Y CRANEAL
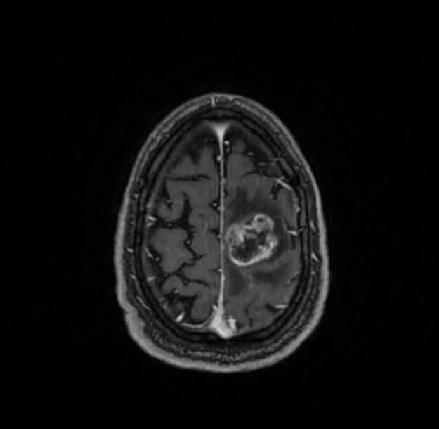
TUMORES CEREBRALES
Un tumor cerebral es una colección anormal de células que crece en, o alrededor del, cerebro. Presenta un riesgo para el cerebro sano porque invade o destruye el tejido normal del cerebro comprimiéndolo y desplazando al cerebro.
HEMORRAGIAS CEREBRALES
Las hemorragias cerebrales son una emergencia médica que ocurre cuando se produce un sangrado dentro del cerebro o en sus alrededores. Este tipo de hemorragia puede causar daños graves y permanentes, por lo que es crucial un diagnóstico y tratamiento rápidos.
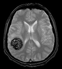
CAVERNOMAS
Un Es una malformación vascular en el cerebro compuesta por un conjunto anormal de vasos sanguíneos dilatados, que forman pequeñas cavidades llenas de sangre. Estas cavidades, llamadas “cavernas,” están rodeadas por paredes finas que son propensas a sangrar.
INFARTOS CEREBRALES
Un infarto cerebral, también conocido como accidente cerebrovascular isquémico (ACV isquémico), ocurre cuando una parte del cerebro deja de recibir un flujo sanguíneo adecuado debido a la obstrucción de una arteria. Esta falta de circulación priva a las neuronas de oxígeno y nutrientes, provocando la muerte de las células cerebrales en la zona afectada.
MALFORMACIONES CEREBROVASCULARES
Una malformación cerebrovascular es un grupo anormal de vasos sanguíneos en el cerebro que se forman de manera incorrecta. Estas malformaciones pueden afectar arterias, venas o ambos, lo que provoca que el flujo sanguíneo en el cerebro sea anormal. Debido a la estructura inusual de estos vasos, las malformaciones cerebrovasculares pueden ser propensas a sangrar, lo que aumenta el riesgo de hemorragia cerebral, convulsiones o daños neurológicos.
TRAUMATISMOS CEREBRAL
Los traumatismos cerebrales son lesiones graves que pueden tener consecuencias significativas en la vida de una persona. Estos traumatismos pueden variar desde conmociones leves hasta lesiones más severas que amenazan la vida. En esta sección, exploramos las causas, síntomas, y tratamientos de los traumatismos cerebrales, destacando la importancia de una atención médica especializada.
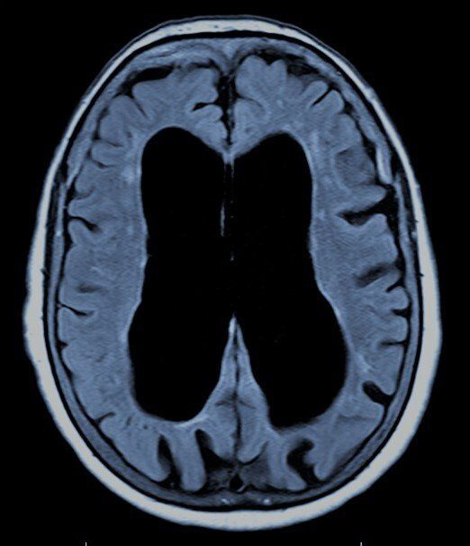
HIDROCEFALIA
La hidrocefalia es una condición médica en la que hay una acumulación excesiva de líquido cefalorraquídeo (LCR) en el cerebro.
Este líquido, que normalmente protege y amortigua el cerebro, puede ejercer una presión dañina cuando se acumula en exceso.
La hidrocefalia puede afectar a personas de todas las edades, pero es especialmente común en bebés y personas mayores
MALFORMACIÓN (CHIARI)
La malformación de Chiari es una condición poco común en la que el tejido cerebral se extiende hacia el canal espinal.
Esta condición puede causar una variedad de síntomas y requiere una evaluación y tratamiento especializados.
NEURALGIA DEL TRIGÉMINO
La neuralgia del trigémino, también conocida como tic doloroso, es una afección que causa episodios súbitos y extremadamente dolorosos en el rostro.
Este dolor, que puede ser similar a una descarga eléctrica, afecta al nervio trigémino, el cual es responsable de la sensibilidad en la cara
TUMORES HIPOFISARIOS
Un tumor hipofisario es un crecimiento anormal en la hipófisis, una pequeña glándula situada en la base del cerebro que regula muchas hormonas del cuerpo.
La mayoría de estos tumores son benignos (no cancerosos) y pueden no causar síntomas.
Sin embargo, algunos pueden producir demasiada o muy poca cantidad de hormonas, lo que puede afectar diversas funciones corporales.








